00:00 5 Novembre 2020

Coronavirus, cellule anomale danneggiano i polmoni

Coronavirus, cellule anomale danneggiano i polmoni

I polmoni vengono danneggiati da cellule anomale, spinte a fondersi con altre cellule e divenire più grandi e resistenti: questo è il risultato di una ricerca condotta fra Italia e Gran Bretagna e pubblicata sulla rivista "Lancet e BioMedicine".

La scoperta è stata effettuata dalla cooperazione tra il King’s College di Londra e l’Università di Trieste e Centro di Ingegneria Genetica di Trieste.

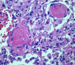
Lo studio si è basato sull’analisi del tessuto polmonare prelevato da 41 pazienti deceduti tra febbraio e aprile. Le analisi hanno permesso di individuare le caratteristiche che contraddistinguono la polmonite da Covid-19 e che potrebbero essere le principali responsabili delle difficoltà attraversate dai pazienti nella lotta alla malattia soprattutto nei casi più duraturi (la cosiddetta sindrome del "Covid lungo"). Secondo la ricerca il sars-cov-2 causerebbe la formazione di cellule anomale, che vanno a fondersi con altre vicine formando agglomerati di cellule.

"Siamo molto stimolati da queste osservazioni – ha rilevato Mauro Giacca, coordinatore dello studio – perché la persistenza del virus per tempi molto lunghi dopo l’infezione e la presenza di queste cellule fuse, che in medicina chiamiamo sincizi, possono spiegare perché il virus causi tanta infiammazione e trombosi".

Rossana Bussani, docente dell’Università di Trieste e firmataria dello studio, è rimasta sorpresa dai risultati:  "eseguo almeno 600 autopsie ogni anno da 25 anni, di cui più di 100 di pazienti deceduti per vari tipi di polmoniti, ma non ho mai visto finora un danno così esteso e con queste caratteristiche".

La formazione di questi agglomerati di cellule viene stimolata dall’arma principale del nuovo coronavirus, ovvero la proteina "Spike" che spinge le cellule infettate a fondersi con quelle vicine.

"Queste osservazioni indicano che Covid-19 non è soltanto una malattia causata dalla morte delle cellule infettate dal virus, come per altre polmoniti, ma anche dalla persistenza di queste cellule anormali infettate nei polmoni", ha rilevato Serena Zacchigna, docente di biologia molecolare dell’Università di Trieste e dell’Icgeb.
 

Autore : Redazione MeteoLive.it